| Автор | Сообщение | 
| xtc55555 Участник
 Москва
 Сообщений: 21
 | #1 Дата: 7 Сен 2020 21:28 - Поправил: xtc55555 
 
 Вообщем впервые я заметил это примерно месяц назад. Собака бегает прыгает, но вдруг если остановится, то просто поджимает заднюю правую лапу и она у него трясется немного, а потом опять идет и бегает, ему всё по боку.
 
 Кобель джек-рассел 6 лет.
 
 
 Недавно сделали нам рентген под кратковременной седацией. Пес у меня агрессивен даже к факту попробовать одеть намордник, а в вет. клиниках трясется как осиновый лист. (Безусловно моя вина, что с детства не уделял этому внимания в плане дрессировки, но уж так сложилось) Понимаю, что рентген не покажет каких либо патологий с надрывом, разрывом связок.
 
 Специалист провел тесты  состояния лапы без седации:
 
 1) тест компрессии отрицательный на левую заднюю лапу и ложно-положительный (микролюфт) на правую заднюю
 
 2) тест Ортолани отрицательный на обе задние лапы
 
 При осмотре в состоянии седации люфт в коленном суставе при исследовании тестов компрессии голени и симптома переднего "выдвижного ящика" более выражен, слева в норме.
 
 Предварительный диагноз разрыв передней крестообразной связки. Но естественно назначен МРТ для точно определения диагноза.
 
 
 Собака вообще не ощущает никаких болей, не скулит не жалуется и.т.д. кушает, писает, какает без проблем.
 
 
 
 До этого первое место куда я обратился было в г. Ногинск, вет. специалист прописал нам курс 10 дней:
 1) Синулокс (10 дней) по 0,5 табл. 2 раза в день  (антибиотик)
 2) Онсиор (7 дней) по 1 табл 1 раз в день (лекарственное обезболивающее средство)
 3) И зачем-то мильгамму (10 дней) 1 раз в день 0,5 табл. (препарат при неврологических заболеваниях при подтвержденном дефиците витамина В1 и В6)
 
 Спустя 5 дней собака по прежнему периодически поджимала лапу и я повез уже в Москве в вет. клинику. Там то и сделали рентген итд. Курс пропивать далее не стали и в вет. клинике следующей так же сказали, что не стоит это делать.
 
 
 Сейчас нам необходимо сдать кровь и видимо без седации этого не сделать, увы такой уж агрессор мой пес. Давал ему 1 раз гель "Силео", он вроде подействовал, но при входе в вет. клинику сразу его действие прекратилось.
 
 
 Для чего я создал эту тему? Сегодня 7 сентября я вечером выходил в магазин, а смотрю мой пес на 3 лапах подходит к туалету и писает. Вернулся он всё стоит на 3 лапах. Хотя днем мы гуляли и всё было хорошо, он опирался уверенно на все 4 лапы.
 Предположу, что после отдыха собаке сложнее вставать и это действительно надрыв, разрыв связки.
 
 Я конечно сделаю ему УЗИ сердца перед МРТ и сдадим мы анализы крови общий и биохимию безусловно, но прошу тех кто сталкивался с такой вот похожей симптоматикой отпишите мне свои истории.
 Я готов отдать пса на операцию (TPLO) если это проблема с разрывом связки, а если нет, то пока я нахожусь сам в подавленном состоянии и прошу расскажите уважаемы собаководы свои примеры.  Не судите строго. Заранее всем кто ответит спасибо.
 
 
 | 
| xtc55555 Участник
 Москва
 Сообщений: 21
 | #2 Дата: 7 Сен 2020 21:32 
 
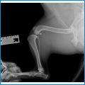
 Вот рентгеновские снимки
 
 
 | 
| xtc55555 Участник
 Москва
 Сообщений: 21
 | #3 Дата: 8 Сен 2020 05:24 
 
 Проснулись в 5 утра. Пса поставил сам на пол, потихоничку дошел на 4-х на кухню, попил, пописал, но все же лапку немного жалеет пока ходит. Када с дивана его спускал он ваще нежился от удовольствия на спине, терся об свое одеяло. Потом вытянулся в "курочку". Опять лег спать.
 
 
 | 
| xtc55555 Участник
 Москва
 Сообщений: 21
 | #4 Дата: 19 Сен 2020 11:40 - Поправил: xtc55555 
 
 вот результаты анализа крови общий и биохимический
 
 
 | 
| xtc55555 Участник
 Москва
 Сообщений: 21
 | #5 Дата: 23 Окт 2020 09:12 
 
 Песика моего прооперировали сделали остеотомию большеберцовой кости (TPLO). Прошло почти 2 недели, опороспособность постепенно восстонавливается на задней лапе. Уверенно ходит, немного даже бегает. Пытается запрыгивать на диван, но не разрешаю пока. В игры не играем, пока не сделаем рентген контрольный и не убедимся, что кости сростаются.
 
 
 | 
| xtc55555 Участник
 Москва
 Сообщений: 21
 | #6 Дата: 2 Ноя 2020 13:19 - Поправил: xtc55555 
 
 Вот так выглядит пластинка на лапе спустя 28 дней после операции. Опороспособность восстановлена, но срастется кость только спустя 2 месяца и более. В данный момент на снимке уже образовалась "костная шишка", говорит о том, что кость срастается и отторжения импланта нет.
 
 
 | 
| CaptSmollet Участник
 
   Заречье, Моск.обл., Одинц.р-н
 Сообщений: 10283
 
   | #7 Дата: 5 Ноя 2020 06:36 
 
 xtc55555
 Так а что было-то в итоге? Трещина кости или разрыв связок?
 Собаке скорейшего восстановления!
 
 __________________
 KsyuLi
 
 
 | 
| xtc55555 Участник
 Москва
 Сообщений: 21
 | #8 Дата: 10 Ноя 2020 17:40 - Поправил: xtc55555 
 
 
 CaptSmollet:  Так а что было-то в итоге? Трещина кости или разрыв связок? Собаке скорейшего восстановления!На 50% разрыв крестообразной связки. Сейчас идет уже 2 месяц реабилитации, ходим, бегаем, прыгаем на диван и обратно без проблем. Повторный рентген выложу в начале декабря.
 Спасибо мы стараемся.
 
 
 | 
| xtc55555 Участник
 Москва
 Сообщений: 21
 | #9 Дата: 8 Дек 2020 14:29 - Поправил: xtc55555 
 
 Вот второй снимок спустя 2 месяца после операции, возможно кому-то будет полезно. У песика всё хорошо срослось и он полностью готов к повседневным нагрузкам, ранее я его ограничивал во всем ,прогулках, играх, уменьшил рацион. Похудел за 2 месяца на 1 кг постепенно. Если кому нужны контакты хирурга оставляю здесь:
 
 Ветеринарная клиника Dr. Vetson  Балаклавский д.9
 
 +7 495 744 10 85
 +7 916 338 17 97
 
 Инстаграмм https://www.instagram.com/dr.vetson/
 
 Хирург Крючков Дмитрий Викторович (очень рекомендую)
 https://www.instagram.com/dmitry_kriuchkoff/
 https://vk.com/id1427080
 
 
 Наш с Рокки инстаграм, если будут вопросы пишите туда https://www.instagram.com/xtc55555/
 
 
 | 
| xtc55555 Участник
 Москва
 Сообщений: 21
 | #10 Дата: 20 Авг 2024 21:45 
 
 Знаю что тема старая. Но у нас спустя 4 года рецидив на второй задней лапе. Буду выкладывать материалы. Хирург будет тот же, так как его работа действительно очень результативная. За 4 года полный порядок, всё как обычно, лютое сумашествие. Парень забыл о проблеме и я вместе с ним через 3 месяца реабилитации. Далее нагрузки он сам себе устанавливал. Но увы вторая лапа не выдержала и произошел надрыв. Летом носит на даче вдоль забора и на всех лает в своёудовольствие. Мы даем на 20% меньше еды, он стройняшка, но всеравно видимо возраст еще играет роль, уже 10,5.
 
 
 | 
| Шейла Участник
 
   Институт Коневодства
 Сообщений: 5824
 
   | #11 Дата: 29 Авг 2024 17:10 
 
 xtc55555
 Здоровья!
 Я бы всё же ограничила по возможности эту беготню вдоль забора. Собаки, как и кони - сами себя загнать могут.
 
 __________________
 Питомник Джек Рассел терьеров "ВИВА ХАНТЕР" (РКФ-FCI)
 http://viva-hunter.ru
 
 
 | 
| xtc55555 Участник
 Москва
 Сообщений: 21
 | #12 Дата: 2 Окт 2024 14:54 - Поправил: xtc55555 
 
 Прошло 2 недели после операции. Уже пытается бегать дружище. Как появятся рентген снимки все, выложу здесь. В этот раз связка была почти полностью порвана, так что остеотомия это отличное решение.
 
 
 | 
| lenkamx Участник
 
   Мытищи
 Сообщений: 1705
 
   | #13 Дата: 7 Окт 2024 04:12 
 
 Скорейшего выздоровления
  
 __________________
 
  
 
 | 
| xtc55555 Участник
 Москва
 Сообщений: 21
 | #14 Дата: 13 Окт 2024 21:12 - Поправил: xtc55555 
 
 Фото рентгена через 1 мес. после операции. Рокки уже ходит и гуляет как обычно, нагрузки до 2-3 мес. только щадящие. Всё в общем отлично, не зря делали операцию. Бег и прыжки пока исключаем.
 
 
 | 
| xtc55555 Участник
 Москва
 Сообщений: 21
 | #15 Дата: 13 Окт 2024 21:25 
 
 
 lenkamx:  Скорейшего выздоровленияСпасибули, мы очень стараемся.
 
 
 |